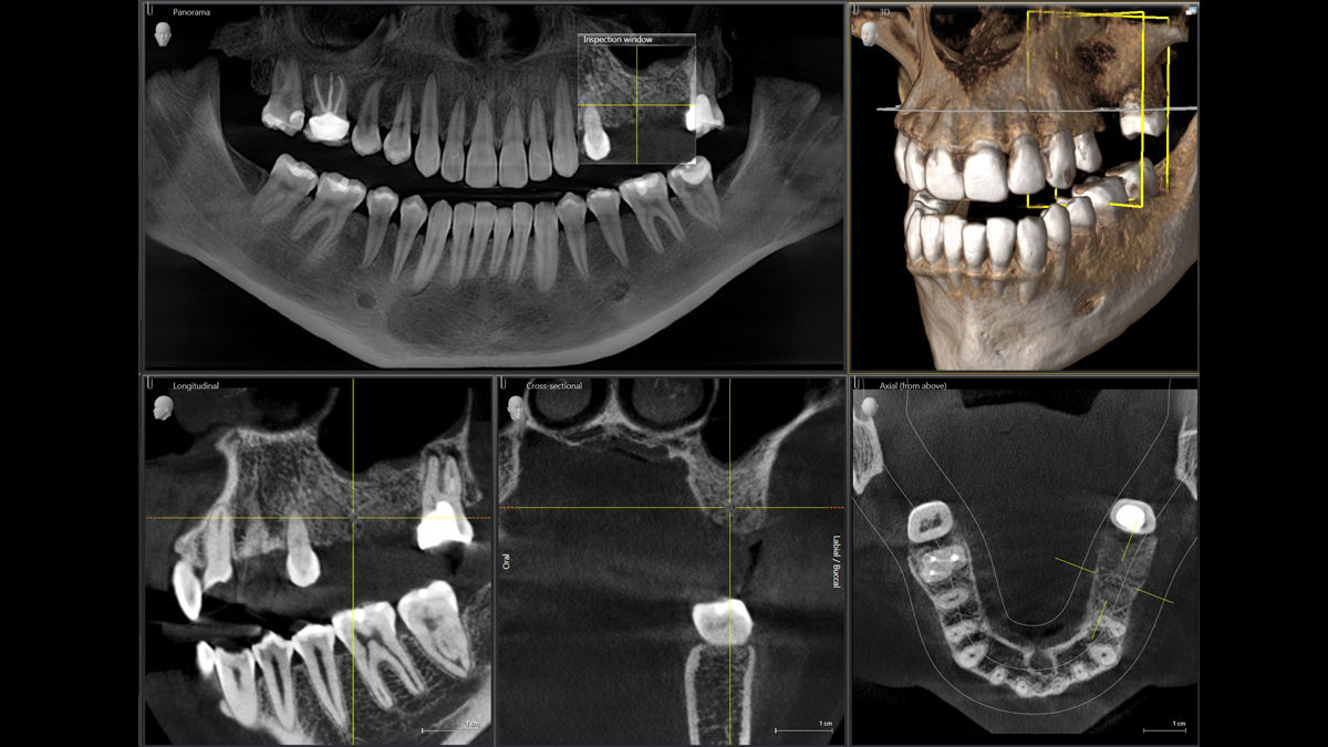
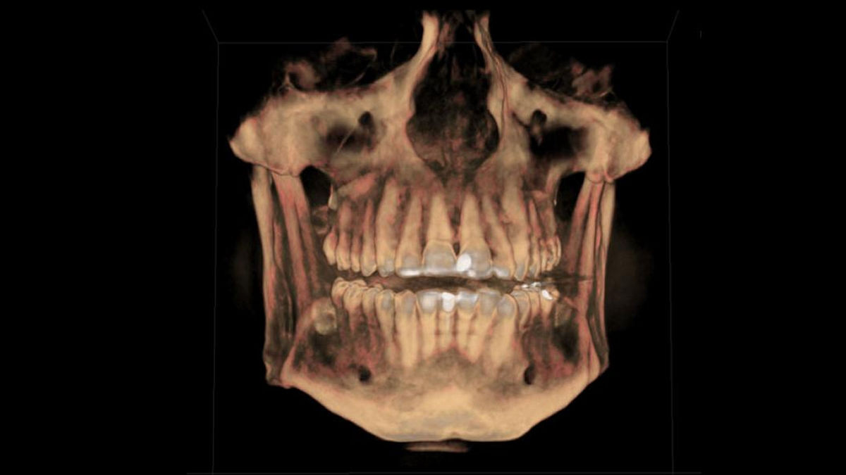
Tomografías Conebeam

Modo de alta definición

Para determinadas indicaciones, por ejemplo, la visualización de los canales de raíces finas, el modo de alta definición (HD) muestra todos los detalles necesarios.

Volumen esférico de hasta 15 CM

Galileos Comfort Plus aporta toda la información de imagen que necesita, ya sea caso de diagnóstico de A.T.M., un caso quirúrgico o un tratamiento de apnea del sueño.

Modo de baja radiación 

Seguridad en la toma de imágenes 3D con un nivel de dosis de radiación como el de una radiografía 2D, ampliando asi el número de indicaciones en las que utilizarlo.

Mobirise

Facescanner 

Mientras se obtienen las imágenes DICOM de rayos X, los sensores del Facescanner genera en formato STL la superficie facial del paciente.

El aparato de rayos X y el escáner facial 3D se superponen completamente de forma automática y exacta.

Esta ilustración realista hace que las sugerencias de tratamiento sean más comprensibles para los pacientes  construyendo así una mejor comunicación.


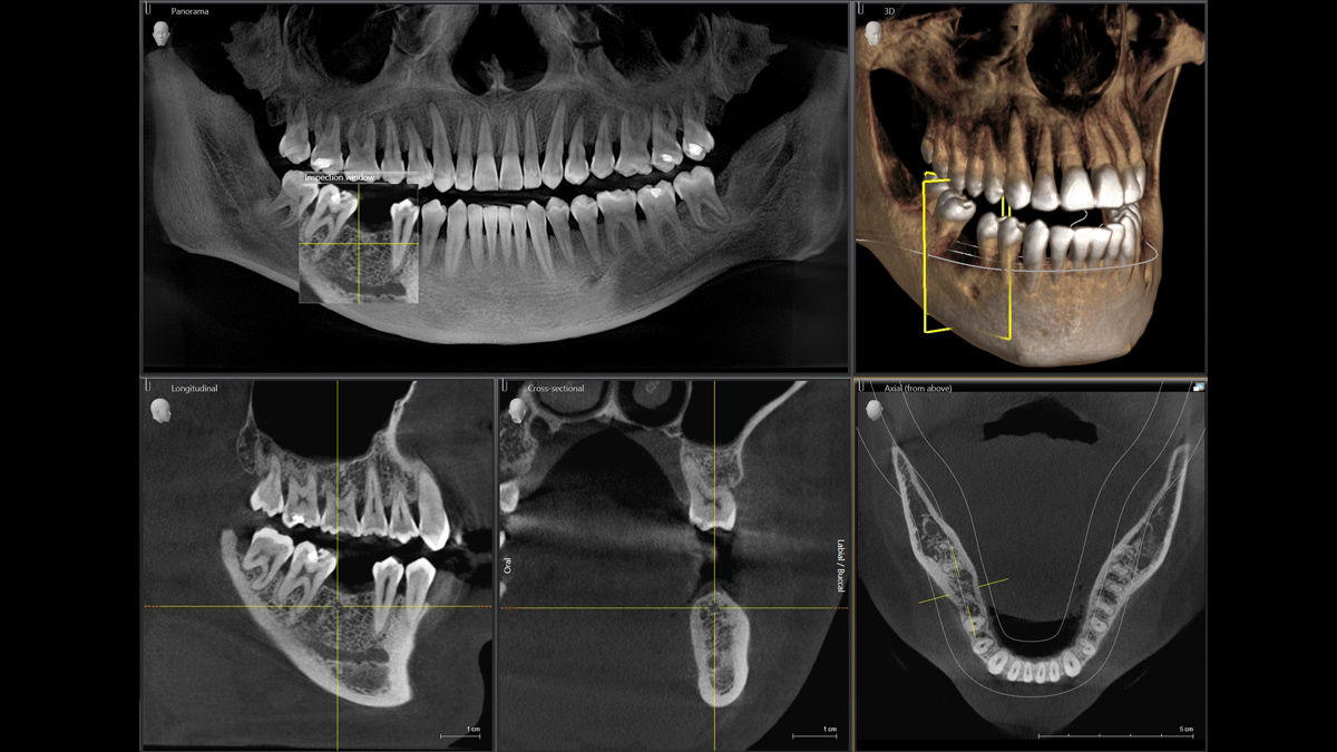
Software de reconstrucción MARS

Los objetos radiopacos, como los metales, causan interferencias en la captación de imagen. El software MARS reconoce automáticamente y reduce estos objetos, ayudando en el diagnóstico sin necesidad de realizar una segunda tomografía.

Mobirise
VOLVER A INICIO
VOLVER ATRÁS

CIUDAD DE FORMOSA - REPÚBLICA ARGENTINA

The website was designed with Mobirise website template