Radiografías
digitales

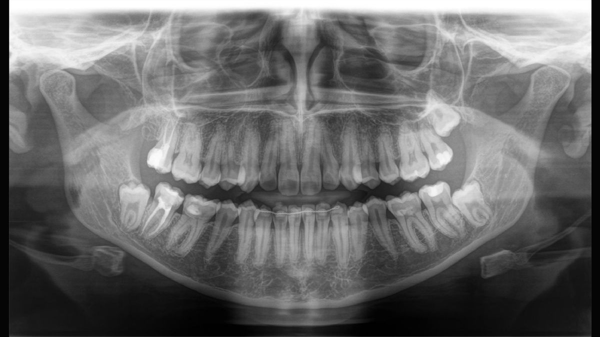
Tecnología Sharp Layer (SL)

La tecnología SL le permite generar multiples imágenes durante una única rotación. Los fragmentos con mejor enfoque se combinan automáticamente para formar una imagen de rayos X con nitidez incomparable (ideal para observar piezas multiradiculares).

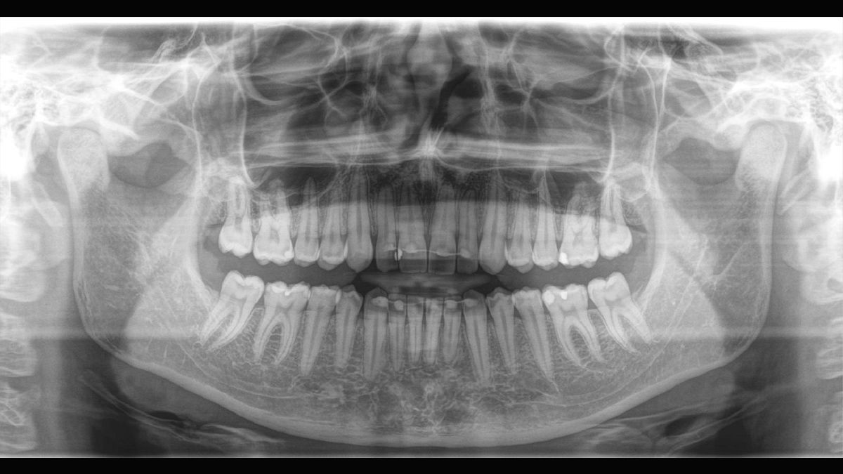
Direct Conversion Sensor

La tecnología DCS convierte los rayos X directamente en señales eléctricas sin pérdida de información debida a la conversión de la luz. Permite obtener imágenes de radiografía panorámicas de elevado contraste con una calidad excepcional.

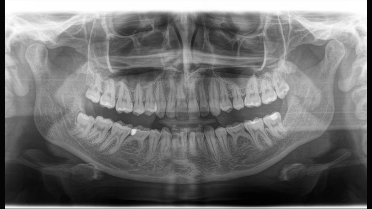
Algoritmo de software ASTRA

ASTRA mejora considerablemente la calidad de las imágenes panorámicas 2D y cefalométricas. Este algoritmo de reconstrucción estructurado anatómicamente genera una imagen con mayores contrastes sin la aparición de bordes indefinidos.

VOLVER A INICIO
VOLVER ATRÁS

CIUDAD DE FORMOSA - REPÚBLICA ARGENTINA

Designed with Mobirise